image presentation logo normal image presentation logo reduite

La plateforme ORGAPRED est dédiée à la production d’organoïdes tumoraux (également appelés tumoroïdes) à visée prédictive de la réponse aux traitements et à visée de recherche. Il s’agit d’une plateforme de l’Université de Caen Normandie hébergée par le Centre de Lutte contre le Cancer François Baclesse au sein de l’Unité Inserm U1086 ANTICIPE. La plateforme est ouverte à tout utilisateur professionnel (académique et industriel) souhaitant utiliser des tumoroïdes disponibles sur la plateforme ou établir de nouvelles lignées de tumoroïdes.

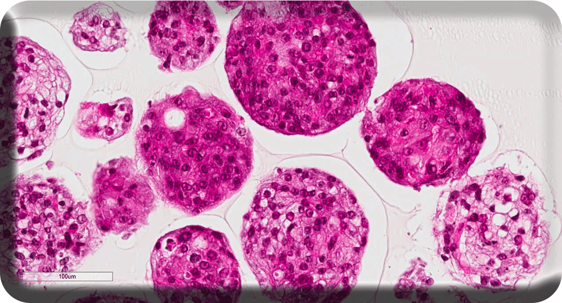
Les tumoroïdes, structures multicellulaires tridimensionnelles obtenues directement à partir d’échantillons tumoraux de patients, reproduisent de façon fidèle les caractéristiques histologiques et moléculaires de la tumeur dont ils dérivent.

formation organoides gif anime

La plateforme accompagne les chercheurs et cliniciens dans la mise en place de protocoles visant à utiliser des échantillons tumoraux pour produire ces tumoroïdes, et/ou à utiliser ces derniers à des fins de recherche clinique ou fondamentale. Elle assure ainsi la production, la conservation et le traitement des organoïdes obtenus. La plateforme travaille en partenariat avec d’autres plateformes pour certains aspects de la caractérisation des tumoroïdes en termes moléculaires et/ou de l’évaluation de leur réponse aux traitements (plateforme ImpedanCELL pour l’imagerie cellulaire en temps réel notamment). Elle est également incluse dans le réseau « OrgaNO » de plateformes de production d’organoïdes tumoraux du Cancéropôle Nord-Ouest (partenariat avec la plateforme ORGARES de Lille) et dans le Réseau National des plateformes du Groupement De Recherche « Organoïdes » labélisé par le CNRS en 2021.

Un environnement analytique performant est ainsi disponible au travers des plateformes technologiques de l’Université de Caen Normandie qui sont à proximité immédiate de la plateforme ORGAPRED. La plateforme dispose elle-même d’équipements lourds ou semi-lourds permettant la production, le traitement et l’analyse des tumoroïdes à haut débit (robot de culture dédié, station d’imagerie cellulaire 3D en temps réel CellDiscoverer 7, irradiateur CellRad…).

Les services proposés concernent ainsi la production de tumoroïdes, leur conservation, la constitution des collections biologiques associées, leur caractérisation histologique et moléculaire et l’évaluation de leur réponse aux traitements.

Les perspectives des travaux menés sur les tumoroïdes sont de plusieurs natures, puisqu’ils pourraient en particulier permettre :

  • de prédire la réponse des patients aux traitements de chimiothérapie ou radiothérapie (grâce à la possibilité de réaliser divers tests fonctionnels), constituant une aide à la décision thérapeutique nécessaire à la mise en place de protocoles de médecine de précision ;
  • d’identifier des biomarqueurs prédictifs grâce à l’utilisation de larges panels de tumoroïdes;
  • de mettre en place des études précliniques de validation de nouvelles stratégies thérapeutiques (travaux de recherche des unités académiques et molécules en développement dans le cadre de partenariats avec les industriels).

La plateforme ORGAPRED est cofinancée par l’Union européenne, la Région Normandie
dans le cadre du programme opérationnel FEDER/ FSE 2014-2020 et par l’Etat français dans le cadre du Contrat de Plan Etat-Région Bas-Normand 2015-2020.