SAVOIR-FAIRE
La production de tumoroïdes
- Accompagnement à la mise en place de protocoles cliniques dédiés et aux circuits de prélèvement associés;
- Définition des conditions de préparation et de culture dédiées au type tumoral concerné;
- Prise en charge des échantillons tumoraux pour l’établissement des lignées de tumoroïdes en routine.
La conservation des tumoroïdes
- Cryopréservés à -150°C dans des conditions sécurisées pour une décongélation et une remise en culture des tumoroïdes.
- Congelés à -80°C en vue d’analyses moléculaires.
- Inclus en blocs de paraffine destinés aux analyses histologiques.
La constitution des collections biologiques associées
(en partenariat avec la Tumorothèque de Caen Basse Normandie et le CRB OvaRessources, certifiés NF S-96-900)
- Blocs de paraffine destinés aux analyses histologiques (fragments tumoraux et sphéroïdes d’ascites).
- Culots de sphéroïdes d’ascites et fragments tumoraux congelés destinés aux analyses moléculaires.
- Cryopréservation des PBMC autologues en vue de l’évaluation de la réponse aux immunothérapies.
- Congélation du sérum, ascite ou encore urine des patients et/ou de surnageants de culture des organoïdes en vue de la mise en évidence de biomarqueurs circulants de la réponse aux traitements.
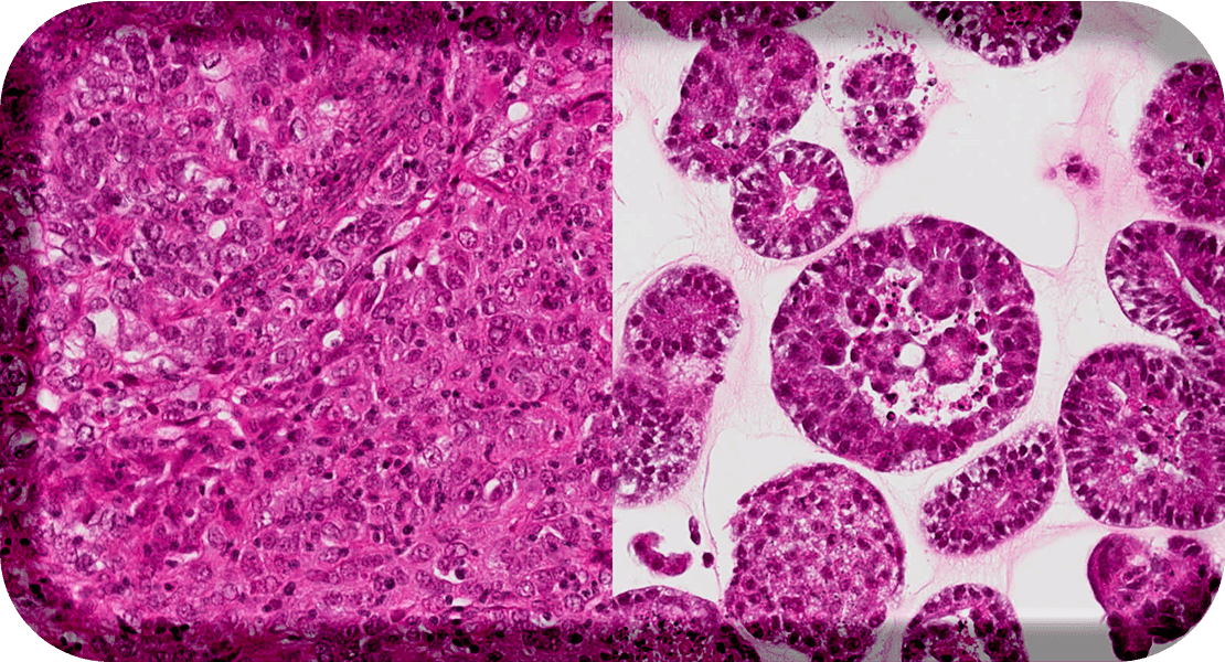
La caractérisation histologique
des tumoroïdes et des échantillons tumoraux d’origine (partenariat avec la plateforme VIRTUAL’His / CMAbio3 pour la réalisation des colorations histologiques, détections immunohistochimiques et protocoles d’histo-imagerie quantitative)
La caractérisation moléculaire
des tumoroïdes et des tumeurs d’origine (CGH arrays, transcriptome, panels de gènes séquencés par NGS etc., en partenariat avec la plateforme SESAME (Caen) et Plateau de Génomique Fonctionnelle et Structurale de l’Université de Lille).
L’évaluation de la réponse aux traitements
(chimiothérapies conventionnelles, radiothérapies, molécules innovantes ou développement…)
- Tests de viabilité [CellTiter-Glo 3D (Promega), RealTime-Glo MT (Promega)]
CellTiter-Glo 3D
RealTime-Glo MT
- Tests de cytotoxicité [Caspase-Glo 3/7 (Promega), CellTox Green (Promega) et ViaStain Live Caspase 3/7 (Nexcelom)]
Caspase-Glo 3/7 (Promega)
CellTox Green (Promega)
- Imagerie cellulaire en temps réel sur IncuCyte S3 (partenariat avec la plateforme ImpedanCELL)
Suivi de la croissance de tumoroïdes ovariens au cours du temps
Suivi de la croissance de tumoroïdes ovariens exposés à une molécule anticancéreuse au cours du temps.
Suivi de la croissance de tumoroïdes ovariens dans un dôme de matrice au cours du temps.
Suivi de la toxicité (fluorescence verte) dans des tumoroïdes ovariens exposés à une molécule anticancéreuse au cours du temps.
IncuCyte S3
- Imagerie cellulaire en temps réel et imagerie confocale sur CellDiscoverer 7
Sonde caspase 3/7
- Irradiation X et test RECAP (évaluation de la capacité des cellules à réparer l’ADN par recombinaison homologue)
Test RECAP (DNA Repair CAPacity)
Formation à la culture des tumoroïdes
La plateforme ORGAPRED propose des actions de formation à la demande, destinées au personnel scientifique (techniciens, ingénieurs, doctorants ou chercheurs) des laboratoires académiques ou privés désireux de se former aux protocoles de production, de traitement ou d’analyse des tumoroïdes. Pour toute demande de formation, adressez vous aux responsables de la plateforme, dont les coordonnées figurent dans l’onglet “contact”. Ils évalueront avec vous le type de formation le plus adapté pour répondre à votre demande.
La plateforme ORGAPRED intervient dans le cadre des cursus universitaires de l’Université de Caen Normandie, et peut également intervenir dans d’autres structures de formation sous forme de cours, de conférences ou de visites sur simple demande formulée auprès de ses responsables.
CATALOGUE LIGNÉES
La plateforme ORGAPRED dispose actuellement de lignées issues de différents types de cancers, tel que détaillé ci-dessous. Toutes ne sont pas encore caractérisées en termes moléculaires, cette caractérisation avançant au cours de la réalisation des projets de recherche concernés.
- 32 lignées de tumoroïdes issues de cancers ovariens de divers types histologiques (séreux de bas grade, séreux de haut grade, mucineux, carcinosarcome, à cellules claires, endométrioïde et de la granulosa).
- 6 lignées de tumoroïdes issues de cancers épidermoïdes des voies aérodigestives supérieures
- 3 lignées de tumoroïdes issues de cancers du côlon
- 2 lignées de tumoroïdes issues de cancers du pancréas
- 1 lignée de tumoroïdes issue de cancer du sein